Implantes dentales en Barcelona

Recuperamos la estética de tu sonrisa

Solicita una 1ª cita sin compromiso

Recupera tu sonrisa con nuestros implantes dentales

¿Te falta un diente? ¿Quieres volver a comer, hablar y sonreír sin preocupaciones?

 

En Otero Villanueva dental, somos especialistas en implantes dentales con técnicas avanzadas de cirugía guiada y carga inmediata, para que recuperes tu sonrisa de forma rápida, segura y sin dolor.

Especialistas en carga inmediata

Los implantes dentales son la solución definitiva para reponer dientes ausentes de forma fija, estética y duradera. En nuestra clínica, el Dr. Eduard Villanueva ha desarrollado un protocolo de implantología de carga inmediata, que permite colocar el implante y una prótesis provisional fija en menos de 24 horas.

Este tratamiento es ideal para pacientes que han perdido uno o varios dientes y desean recuperar su sonrisa y funcionalidad en el menor tiempo posible, sin renunciar a la estética desde el primer día.

Con nuestra técnica de carga inmediata, podrás salir de la clínica con dientes fijos el mismo día de la cirugía. Primero diseñamos la posición ideal de tus dientes y con la planificación colocamos los implantes dentales en la posición mas favorable para tu rehabilitación.

Implantes dentales Foto 2

Ventajas del tratamiento

Materiales de máxima calidad: (titanio grado médico y cerámica)

Alta tasa de éxito clínico, superior al 98%, avalada por la evidencia científica y nuestra experiencia clínica

Rehabilitación completa y estable, incluso en casos de pérdida ósea avanzada, con técnicas que evitan injertos en muchos pacientes.

Tratamiento 100% personalizado, adaptado a las necesidades estéticas y funcionales de cada paciente.

Recuperación de la función masticatoria y la fonación, permitiendo comer, hablar y sonreír con total confianza.

Resultado natural y estético, integrándose perfectamente con el resto de la dentición.

Prevención del deterioro óseo, ya que el implante estimula el hueso y evita la reabsorción tras la pérdida dental.

Mejora de la autoestima y la calidad de vida, devolviendo seguridad al sonreír.

Fases del tratamiento implantológico

01
Estudio diagnóstico
Estudio diagnóstico
Incluye escáner CBCT, fotografías, modelos digitales y análisis de oclusión.
02
Planificación digital
Planificación digital
Se diseña la posición ideal del implante mediante software 3D para garantizar la precisión quirúrgica.
03
Implante dental
Colocación del implante
Se realiza bajo anestesia local, siguiendo estrictos protocolos de esterilidad y mínima invasión.
04
Prótesis provisional
Colocación de prótesis provisional
En las primeras 24-48 horas, el paciente ya disfruta de una pieza funcional y estética.
05
Corona definitiva
Integración ósea y colocación definitiva
Tras un periodo de osteointegración (3 a 6 meses), se coloca la corona definitiva, totalmente adaptada a la oclusión y estética facial del paciente.

Sedación para tu máxima comodidad

Si te da miedo el dentista, ¡tenemos la solución! ¿Te da miedo el dentista? Descubre la sedación.

 

En Otero Villanueva Dental disponemos de sedación consciente, una técnica segura que te permite relajarte durante el tratamiento sin perder la conciencia. Contamos con licencia de sedación y anestesista para los pacientes que tienen miedo al dentista, al igual que para aquellos pacientes con patologías  cardiacas o respiratorias. Nos permite trabajar con mayor tranquilidad y tener siempre al paciente monitorizado y controlado médicamente.

Cirugía Guiada 3D: Precisión y Seguridad

La cirugía guiada 3D es una técnica avanzada que nos permite planificar y colocar los implantes dentales con una precisión milimétrica. A través de un escáner digital creamos un modelo en 3D de tu boca, lo que nos ayuda a diseñar el tratamiento antes de entrar en quirófano.

El resultado: una cirugía más rápida, segura y cómoda, con menos molestias posteriores y resultados altamente predecibles.

Planificación 3D personalizada

Prevención de complicaciones

Precisión milimétrica en implantes

Menos tiempo y molestias

Resultados seguros y predecibles

Estética Avanzada con Técnica BOPT

Trabajamos con la innovadora técnica BOPT, que nos permite lograr una transición perfecta entre el implante y la encía, ofreciendo una sonrisa más natural y estética.

La técnica BOPT, es una técnica pionera que nos permite hacer crecer las encías en ciertos casos sin la necesidad de injertos de encía, nos permite proteger los implantes de las bacterias alejándolas de la cabeza del implante, consiguiendo así una mayor supervivencia y estética de nuestro implantes dentales.

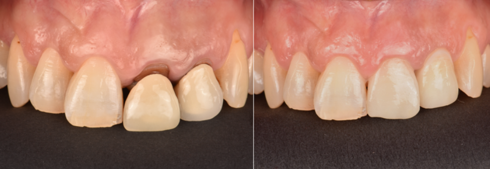
Casos reales

Antes
Después
Antes
Después
Antes
Después

Preguntas frecuentes sobre implantes dentales:

Preguntas Frecuentes - Implantes Dentales
¿Es dolorosa la colocación de un implante?

No. Se realiza con anestesia local y, si lo deseas, con sedación. La cirugía guiada hace que el procedimiento sea rápido y con mínimas molestias después

¿Cuánto dura un implante dental?

Con los cuidados adecuados, revisiones periódicas y una buena higiene, un implante puede durar toda la vida..

¿Podré comer el mismo día de la cirugía?

Sí, gracias a la carga inmediata podrás tener dientes fijos y funcionales desde el primer día (en casos seleccionados).

¿Qué pasa si tengo poco hueso?

Tenemos técnicas avanzadas de regeneración ósea y elevación de seno maxilar para poder colocar implantes incluso en casos con pérdida de hueso.

¿Se notará que llevo un implante?

No. Diseñamos coronas personalizadas con materiales de alta estética para que tu implante sea indistinguible de un diente natural.

Pacientes Satisfechos
0 %
Pacientes Atendidos
+ 0
Años de Experiencia
0

Pide tu cita ahora y empieza el cambio

¿Listo para sonreír con libertad? La primera visita es gratuita y sin compromiso. Te asesoraremos con total transparencia.